Bệnh nhân là bà Trần Thị T. (54 tuổi, ở Phù Ninh – Phú Thọ). Trước đó, bà T. bỗng dưng xuất hiện các triệu chứng khó thở, tức ngực, phù nề chân trái.
Khi đi khám tại một phòng khám, bệnh nhân được phát hiện dấu hiệu suy tim, trào ngược dạ dày thực quản. Được các bác sĩ ở đây kê thuốc về nhà điều trị nhưng tình trạng bệnh không thuyên giảm và có biểu hiện ngày càng nặng lên.
Bệnh nhân được đưa vào Khoa Cấp cứu – Bệnh viện đa khoa tỉnh Phú Thọ trong tình trạng suy hô hấp, tím tái toàn thân SPO2 70%. Ngay lập tức bệnh nhân được các bác sĩ cấp cứu, thở oxy, siêu âm cấp cứu tại giường, phát hiện tràn dịch màng ngoài tim mức độ nhiều 3 – 4cm, chèn ép nhĩ phải.
Sau khi tiến hành dẫn lưu màng ngoài tim cấp cứu tại giường đã lấy ra rất nhiều dịch đỏ không đông, số lượng gần 1000ml.
Sau thủ thuật, người bệnh đã đỡ khó thở và được làm các xét nghiệm lâm sàng, cận lâm sàng.
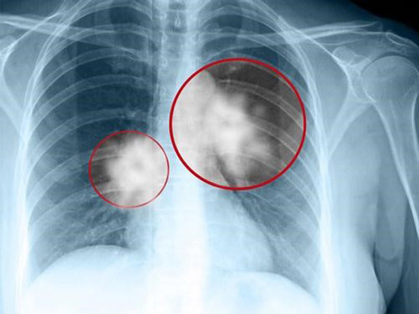
Kết quả xét nghiệm cho thấy người bệnh bị tràn dịch màng phổi hai bên màng tim. Kết quả nhuộm hóa mô miễn dịch dịch màng tim có dấu hiệu ung thư biểu mô tuyến của phổi di căn dịch màng tim, màng phổi.

Bà T đã bước đầu hồi phục và được chuyển đến Trung tâm Ung bướu để tiếp tục điều trị
Theo các bác sĩ, ung thư phổi được chia làm hai loại là ung thư phổi tế bào nhỏ và ung thư phổi không tế bào nhỏ.
Ung thư phổi tế bào nhỏ: là loại có tốc độ phát triển của tế bào cũng như tốc độ di căn nhanh vào máu và một số bộ phận khác trong cơ thể. Thông thường, khi được phát hiện, bệnh nhân mắc phải loại ung thư này đều đã bước vào giai đoạn nặng của bệnh.
Ung thư phổi không tế bào nhỏ: có tốc độ phát triển của tế bào và di căn chậm hơn so với ung thư phổi tế bào nhỏ. Vì vậy, nếu được phát hiện sớm và chữa trị kịp thời, bệnh nhân có hi vọng sống cao hơn. Theo thống kê của Bộ Y tế, có tới 80% người mắc ung thư phổi là ung thư không tế bào nhỏ. Trong đó, loại ung thư này chia thành 3 nhóm nhỏ: ung thư phổi tuyến, ung thư phổi biểu mô bào vảy và ung thư phổi biểu mô tế bào lớn.
8 dấu hiệu cảnh báo sớm căn bệnh ung thư phổi
Nhiều người thường chủ quan với các dấu hiệu quả bệnh tật dẫn đến khi bệnh đã trở nặng mới bắt đầu đi khám thì ung thư phổi đã ở giai đoạn muộn. Chính vì thế, việc trang bị cho mình những hiểu biết về các biểu hiện sớm của bệnh là điều rất cần thiết để có sự can thiệp kịp thời và điều trị.
Khi bạn phát hiện 8 dấu hiệu dưới đây hãy đến các cơ sở y tế gần nhất để kiểm tra và chẩn đoán bệnh kịp thời.
Thở khó khăn, nặng nhọc: Bởi đây không phải một triệu chứng nghiêm trọng cho nên khiến nhiều người chủ quan. Tình trạng này xuất hiện do khối u ở phổi gây ra, cản trở quá trình hô hấp của bạn.
Ho nhiều: Dấu hiệu này giống với các bệnh cảm mạo thông thường vì vậy nhiều bệnh nhân không đi kiểm tra. Trên thực tế, ho dai dẳng kéo dài dẫn đến khàn tiếng, mất tiếng có thể do phổi gây ra do viêm phổi hoặc nhiễm trùng phổi.
Đau tức ngực: Đây là dấu hiệu điển hình nhất của bệnh ung thư phổi. Cơn đau thường xuất hiện mỗi khi người bệnh hoạt động mạnh, ho hay cười nói.
Sút cân một cách bất thường, không rõ nguyên nhân: Việc giảm sút cân nặng không phải do chế độ ăn uống, tập luyện gây ra đều rất có thể là dấu hiệu của một căn bệnh nào đó, trong đó có ung thư phổi . Nguyên nhân có thể do xuất hiện khối u ở phổi khiến gia tăng đột ngột sự trao đổi chất gây ra tình trạng trên.
Đờm có lẫn máu: Ngay cả khi lượng máu lẫn trong đờm nhỏ thì bạn cũng nên đến bệnh viện để kiểm tra lại sức khỏe của mình.
Thường xuyên bị nhiễm trùng đường hô hấp: Ung thư phổi gây ảnh hưởng lớn đến đường hô hấp dẫn đến các bệnh như viêm phế quản và các bệnh nhiễm trùng khác.
Dấu hiệu khác thường ở các mô vú: Đây là dấu hiệu thường gặp ở nam giới khi vùng ngực to lên bất thường do tế bào ung thư kích thích ảnh hưởng đến nội tiết tố.
Đau vai: Hiện tượng này xảy ra khi có một khối u phát triển và chèn lên phần trên của phổi tạo áp lực dẫn đến đau nhức ở vai, cánh tay, bàn tay.
Trường cao đẳng Dược sưu tầm
096.152.9898 - 093.851.9898
Có 63% thí sinh đăng ký bài thi Khoa học xã hội trong kỳ thi tốt nghiệp THPT 2024
Trước kỳ thi tốt nghiệp THPT 2024, thí sinh nên làm gì?
Lưu ý dành cho hơn 40.000 thí sinh thi đánh giá năng lực đợt 2
Năm 2024 có 1,1 triệu thí sinh đăng ký dự thi tốt nghiệp THPT
Đại học đầu tiên công bố cấu trúc bài thi đánh giá năng lực năm 2025
GMP trong ngành Dược là gì? Tầm quan trọng của GMP trong ngành Dược
Trường Cao đẳng Y Dược Sài Gòn trao tặng bằng khen cho các tập thể, cá nhân có thành tích xuất sắc trong công tác phòng, chống dịch Covid – 19



– Cơ sở 1:
Email:
Điện thoại: 0287.1060.222 – 096.152.9898 – 093.851.9898




