Lang ben là bệnh lý da liễu khá phổ biến và có thể xảy ra ở mọi lứa tuổi với nhiều vị trí khác nhau như chân, tay, mặt… Để có được các thông tin hữu ích hơn về bệnh lang ben như nguyên nhân, triệu chứng cách điều trị thì bạn đọc cần tham khảo các thông tin dưới đây.
Tìm hiểu về bệnh lang ben
Bệnh lang ben thường do loại nấm Malassezia furfur (có tên khác là Pityrosporum orbiculare) gây bệnh. Các loại nấm này sẽ ký sinh sau đó phát triển thành các lớp sừng ở bề mặt của da.
Hiện nay chưa tìm ra nguyên nhân gây ra bệnh phát triển quá mức trên bề mặt da. Những có các yếu tố làm gia tăng nguy cơ thúc đẩy nấm sinh trưởng gây bệnh như:
- Làm việc hoặc thường xuyên sinh sống ở môi trường nóng, ẩm ướt. Đây chính là điều kiện thích hợp cho nấm gây ra bệnh.
- Người có nhiều mồ hôi đặc biệt là lứa tuổi dậy thì hoặc thanh thiếu niên có tuyến bã nhờn hoạt động mạnh.
- Bạn có tiền sử mắc một số các bệnh lý như tăng tiết mồ hôi hoặc thay đổi phần hóa học của mồ hôi thì đó cũng trở thành yếu tố gia tăng nguy cơ mắc bệnh.
- Trẻ em mới ốm dậy, người đang trong quá trình điều trị ung thư hoặc mắc các bệnh lý mãn tính hoặc HIV/AIDS có hệ suy miễn dịch bị suy giảm.
- Phụ nữ trong thời kỳ mang thai, dậy thì hoặc sử dụng thuốc tránh thai.
Bên cạnh đó chính khí hậu Việt Nam thì khí hậu nhiệt đới ẩm gió mùa sẽ thích hợp cho nấm lang ben phát triển hơn nữa. Đặc biệt nấm có thể lây lan từ người bệnh sang người lành thông qua tiếp xúc gần hoặc sử dụng chung vật dụng cá nhân, quần áo, khăn tắm…
Triệu chứng của bệnh lang ben
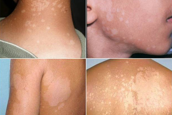
Ban đầu khi mới xuất hiện mắc bệnh trên da sẽ có khởi phát là những chấm màu hồng, trắng hoặc nâu thấy rõ trên bề da.
Theo thời gian các chấm sẽ phát triển và lan rộng ra từng mảng, điều này phân biệt được ranh giới rõ ràng với vùng da lành.
Những vùng da bị nấm sẽ có hình dạng đa cung hoặc bầu dục với kích thước từ 1 – 3cm.
Các vùng da này có thể là các vảy nhỏ hoặc bong ra khi cạo.
Đối với những vùng da với không đau, ít bị ngứa. Nhưng nếu ở vùng da có nhiều mồ hôi thì sẽ bị ngứa rát.
Bệnh sẽ gặp nhiều ở các vị trí như lưng, cổ, ngực hoặc da mặt, tay, chân, thân mình.
Khi các triệu chứng của bệnh thuyên giảm thì sẽ có màu da bất thường và làm ảnh hưởng nhiều đến yếu tố thẩm mỹ.
Ngay khi có các dấu hiệu khác thường trên da của người bệnh thì tốt nhất bạn nên đến các cơ sở y tế chuyên khoa để được thăm khám và đưa ra phương pháp điều trị đúng. Bệnh lang ben có các dấu hiệu khá giống với bệnh bạch biến nên người bệnh cần hết sức lưu ý.

Có thể điều trị bệnh lang ben bằng kem trị nấm
Phương pháp điều trị lang ben
Khi đã kết quả xét nghiệm, chẩn đoán chính xác từ biểu hiện lâm sàng của bạn thì bác sĩ sẽ chỉ định phương pháp điều trị phù hợp với mức độ mắc bệnh của người bệnh.
Một số phương pháp thường được chỉ định dùng trong điều trị bằng thuốc như:
Dùng thuốc để điều trị tại chỗ
Đối với các trường hợp bệnh mới xuất hiện hoặc xuất hiện các tổn thương ở mức độ ít do nấm lang ben thì có thể dùng các loại thuốc điều trị và biện pháp như:
- Các loại kem trị nấm.
- Sử dụng các loại kem dưỡng ẩm và làm mềm da.
- Dùng thuốc mỡ để kích thích làm lành tổn thương da.
- Thường xuyên tắm, vệ sinh, sát khuẩn sạch sẽ vùng da bị bệnh cùng với toàn thân bằng xà phòng.
Dùng các loại thuốc điều trị toàn thân
- Trong trường hợp nấm đã phát triển ở mức độ mạnh, mức độ tổn thương nặng và đã lan ra các vị trí xung quanh hoặc có các dấu hiệu không đáp ứng điều trị với những loại thuốc bôi tại chỗ thì cần dùng đến những loại thuốc điều trị toàn thân.
- Một số loại thuốc kháng nấm được dùng trong điều trị toàn thân theo đường uống như: ketoconazole, Gricin, itraconazole, fluconazole,…
Song song với quá trình điều trị thì người bệnh cần chú ý lưu ý thực hiện biện pháp dưới đây để nhanh chóng cải thiện các triệu chứng của bệnh, cụ thể như:
- Cố gắng tránh việc hạn chế tiết mồ hôi tối đa.
- Không nên tiếp xúc trong thời gian dài quá lâu.
- Nếu phải tiếp xúc với ánh nắng quá lâu thì cần có các biện pháp bảo vệ thân thể.
- Mặc quần áo có chất liệu vải thông thoáng, dễ chịu không bị bí mồ hôi.
- Tuân thủ theo đúng chỉ định của bác sĩ chuyên khoa, không được phép tự ý sử dụng các loại thuốc khác với hướng dẫn để hạn chế những tác dụng phụ có thể xảy ra.
- Xây dựng chế độ ăn đầy đủ dinh dưỡng, các loại vitamin, bổ sung kẽm…
- Giữ vệ sinh sạch sẽ, tuyệt đối không nên dùng chung với quần áo, vật dụng cá nhân với người khác.
- Tốt nhất không nên mặc quần áo khi người còn ướt.
Bệnh lang ben là bệnh có thể chữa khỏi và sau khi điều trị khỏi thì các đốm da sáng màu sẽ dần trở thành bình thường. Tuy nhiên bệnh vẫn có thể tái phát lại khi gặp điều kiện thuận lợi hoặc do nhiễm từ người khác.
Bí quyết chữa lang ben theo dân gian
Các bài thuốc chữa theo dân gian cũng có thể mang đến hiệu quả điều trị, tuy nhiên chỉ nên thực hiện các bí quyết nếu bạn thực sự hiểu về nó và hỏi ý kiến thầy thuốc Đông Y để được hướng dẫn chính xác hơn.
Một số các bài thuốc dân gian được sử dụng phổ biến trong điều trị lang ben như:
Rau răm
Chắc hẳn ai cũng biết rằng rau răm là một loại gia vị quen mặt trong các bữa ăn hàng ngày. Theo Đông Y thì rau răm sẽ có tính ấm, cay và có thể sát trùng được nên nhiều người áp dụng vào điều trị lang ben hoặc các bệnh về da liễu khác như: tổ đỉa, hắc lào…
Cách thực hiện rau răm điều trị lang ben:
- Lựa chọn rau răm tươi và rửa sạch.
- Giã nát rau răm và ngâm rửa vùng da bị lang ben mỗi ngày.
- Hoặc sau khi giã nát rau răm thì tiến hành đắp trực tiếp vùng da xuất hiện các mảng trắng.

Ké đầu ngựa
Sẽ cần sử dụng thân và phần lá của cây ké đầu ngựa và thực hiện điều trị lang ben như:
- Băm nhỏ thân, lá của cây ké đầu ngựa và cho vào nồi nấu lấy nước.
- Đun tới khi cạn còn 1/3 thì chắt ra để lấy nước.
- Lần đun thứ 2 sẽ tiếp tục cho nước mới vào và đun.
- Tới khi cạn còn 1/3 thì chắt ra để lấy nước.
- Sau cùng trộn cả 2 lần chắt nước ra đã làm ở trên và uống trong 3 – 4 lần.
Duy trì điều trị để các triệu chứng được cải thiện.
Chuối xanh
Cách tiến hành dùng chuối xanh để điều trị lang ben:
- Sử dụng chuối tươi, rửa sạch vỏ bên ngoài và thái thành một miếng dày khoảng 1cm.
- Chà trực tiếp miếng chuối có mủ lên vùng da bị lang ben.
- Thực hiện trong khoảng 15 phút thì rửa sạch lại đến nước.
- Sử dụng phương pháp này 3 lần/ ngày. Tuy nhiên trước đó cần vệ sinh sạch vùng da bị lang ben.
Củ riềng tươi
Riềng củ có vị cay, mùi thơm, có tác dụng ôn trung, giảm đau nhức và tiêu thức ăn, chữa trị bệnh hắc lào, lang ben, bệnh ngoài da, phong thấp ….. Riêng với bệnh lang ben riềng có tác dụng ức chế sự lây lan của bệnh sang các ở tại vùng da lành, sau đó phục hồi hắc tố da để lấy lại màu da ban đầu.
Cách tiến hành:
Chuẩn bị riềng tươi và rửa sạch.
Giã nhuyễn và chà xát bã riềng vào vùng da bị lang ben 2 lần/ ngày.
Hoặc cũng có thể dùng riềng ngâm rượu, sau đó xoa bóp lên vùng da cần điều trị trong khoảng 1 tuần.
Dùng tỏi trong điều trị lang ben
Tỏi cũng là một gia vị được dùng nhiều trong gian bếp của người việt. Giống như rau răm, tỏi cũng có tác dụng nhiều trong điều trị các bệnh liên quan đến da liễu, đặc biệt là lang ben.
Cách thực hiện cũng rất đơn giản:
- Dùng giã nhuyễn tỏi sau khi đã bóc vỏ. Nên giã nhuyễn chứ không nên băm nhuyễn vì sẽ làm ảnh hưởng đến tác dụng điều trị.
- Sau đó, dùng phần tỏi đã chuẩn bị để đắp lên vùng da bị bệnh.
- Cứ giữ nguyên như vậy trong khoảng 30 phút, rồi đi rửa lại bằng nước sạch.
Duy trì thực hiện 2 – 3 lần/ ngày để đạt hiệu quả tốt và cải thiện nhanh chóng các triệu chứng. Chú ý do tỏi có tính nóng lên khi áp dụng được bài thuốc thì người bệnh nên nhớ điều chỉnh số lượng tỏi hàng ngày để không xảy ra tình trạng bỏng ra.
Bài thuốc trị lang ben tại nhà từ vỏ bưởi
Vỏ bưởi chứa thành phần chủ yếu là tinh dầu có vị the mát cùng đặc tính chống oxy hóa mạnh. Nó giúp làm giảm khả năng hoạt động của vi nấm gây bệnh, đồng thời bảo vệ các tế bào da khỏi tác hại của gốc tự do, hạn chế những tổn thương trên da.
Các bước sử dụng:
- Chuẩn bị vỏ bưởi tươi và sẽ dùng luôn vỏ bưởi tươi đó.
- Rửa qua với nước cho sạch.
- Giữ sao cho vỏ bưởi khi được bẻ cong các tinh dầu sẽ bắn vào phía da bị lang ben.
- Thoa đều lớp tinh dầu bưởi đó lên vùng da cần điều trị trong khoảng 30 phút, sau đó rửa sạch lại với nước.
- Lặp lại mẹo này 2 – 3 lần trong ngày. Cần lựa chọn vỏ bưởi tươi hoặc dùng tình dầu bán sẵn. Tuy nhiên cần đảm bảo mua được tinh dầu nguyên chất và không chứa chất bảo quản.
Hy vọng các thông tin bài viết ở trên đã giúp người đọc có thêm nhiều thông tin hữu ích về bệnh lang ben. Nếu người bệnh có thắc mắc hãy tham khảo trực tiếp s kiến của các bác sĩ, những thông tin ở trên chỉ mang tính chất tham khảo.
096.152.9898 - 093.851.9898
Tìm hiểu vai trò của 10 loại acid amin thiết yếu đối với cơ thể
Các cách để kiểm soát tốt lượng đường trong máu
Uống nước đậu đen rang có tác dụng gì? Cách làm nước đậu đen rang
Bệnh tiểu đường có chữa được không?
Dấu hiệu cảnh báo sớm tình trạng viêm họng hạt ở lưỡi
Nhận biết bệnh nhiễm trùng đường tiêu hóa như thế nào?
Trường Cao đẳng Y Dược Sài Gòn trao tặng bằng khen cho các tập thể, cá nhân có thành tích xuất sắc trong công tác phòng, chống dịch Covid – 19



– Cơ sở 1:
Email:
Điện thoại: 0287.1060.222 – 096.152.9898 – 093.851.9898




