Viêm nang lông là bệnh lý không gây đe dọa đến tính mạng người bệnh tuy nhiên sẽ gây ngứa, đau và ảnh hưởng đến thẩm mỹ. Bạn đọc nếu còn chưa nắm rõ các thông tin về bệnh thì hãy cùng theo dõi bài viết dưới đây để tìm hiểu nguyên nhân, triệu chứng và cách điều trị bệnh viêm nang lông. Mời bạn đọc cùng theo dõi nhé!
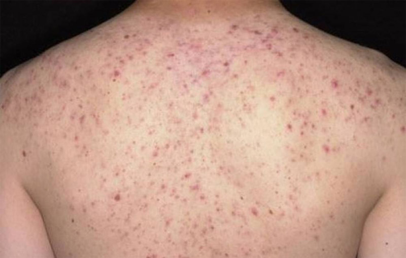
Viêm nang lông là một tình trạng thường gặp ở da, xuất hiện khi nang lông bị viêm do nhiễm khuẩn hoặc nhiễm nấm.
Bệnh xuất hiện ở nhiều vị trí khác nhau trên cơ thể như da đầu, da chân, cánh tay, nách, mặt, mông… Có nhiều loại viêm nang lông, phổ biến hơn cả là viêm nang lông do tắm bồn nước nóng, viêm nang lông do lông mọc ngược, nhiễm nấm khu vực mọc râu lông.
Nguyên nhân và triệu chứng nhận biết tình trạng viêm nang lông
Tùy thuộc vào từng vị trí mắc bệnh mà sẽ có nguyên nhân và triệu chứng nhận biết bệnh khác nhau, cụ thể một số nơi trên cơ thể dễ bị mắc viêm nang lông như:
Viêm nang lông trên mặt
Do da mặt thường bị trứng cá bội nhiễm, xuất hiện vi trùng gram âm hoặc nhiễm tụ cầu vàng… sẽ gây ra tình trạng viêm nang lông trên mặt.
Triệu chứng dễ nhận biết là da mặt mụn nổi đầu trắng, đầu đỏ hoặc đầu đen, đồng thời bị ngứa và mẩn đỏ hoặc nhận thấy lông mọc ngược vào bên trong.
Trong trường hợp viêm nang lông do nguyên nhân nhiễm tụ cầu vàng, virus herpes, nấm sợi… thì sẽ thấy da xuất hiện mụn viêm đỏ, tình trạng này sẽ rất khó chữa dứt điểm và tái phát nhiều lần.
Viêm nang lông trên da đầu
Nhiễm vi khuẩn tụ cầu vàng, vi khuẩn gram âm hoặc nấm Trichophyton sẽ là các nguyên nhân chính dẫn đến viêm nang lông trên da đầu. Bên cạnh đó những người thường xuyên làm việc trong môi trường nóng ẩm, ô nhiễm, da đầu có nhiều dầu cũng sẽ tạo điều kiện cho viêm nang lông xuất hiện.
Biểu hiện điển hình của vị trí viêm nang lông trên da đầu là mất ngủ, suy giảm trí nhớ, suy nhược thần kinh…
Viêm nang lông vùng kín
Cơ địa tuyến nang lông hoạt động mạnh, có dị ứng với sản phẩm làm sạch hoặc chăm sóc, mặc đồ lót quá chật hoặc khi chúng còn ẩm, lớp sưng trên da dày, tẩy lông vùng kín, vệ sinh không sạch sẽ… đều là những nguyên nhân gây ra viêm nang lông vùng kín.
Khi bị viêm nang lông ở vị trí này người bệnh sẽ thấy khó chịu, ngứa ngáy, đau rát. Tuy nhiên có thể điều trị bằng cách dùng thuốc hoặc kem bôi theo chỉ định của bác sĩ để hạn chế biến chứng.

Ngoài ra một số các yếu tố khác làm gia tăng nguy cơ mắc viêm nang lông như:
- Dùng các loại thuốc như steroid hoặc liệu pháp kháng sinh dài hạn trong một thời gian dài để trị mụn trứng cá.
- Có tiền sử mắc bệnh đái tháo đường, HIV/AIDS, leukemia… làm cho hệ miễn dịch yếu đi nên dễ mắc bệnh viêm nang lông.
- Hay có thói quen mặc quần áo bó, bí khiến cho bề mặt da không thoát được mồ hôi.
- Không vệ sinh sạch sẽ bồn tắm tạo điều kiện cho vi khuẩn gây ra bệnh.
- Gây tổn thương tới các nang lông thông qua những hành động như cạo, tẩy lông hoặc mặc quần áo chật
Ngoài ra sẽ còn nhiều nguyên nhân và yếu tố khác gây ra bệnh viêm nang lông mà chưa được liệt kê ở trên, nếu bạn đọc thắc mắc hãy liên hệ bác sĩ chuyên khoa để được giải đáp chi tiết.
Ngay khi nhận thấy bản thân có các triệu chứng của bệnh thì bạn nên tham khảo ý kiến bác sĩ, dược sĩ để có phương pháp điều trị đúng cách, tránh gây ra những biến chứng nguy hiểm hơn cho da.
Phương pháp điều trị bệnh viêm nang lông
Căn cứ vào vị trí bị viêm nang lông và mức độ nghiêm trọng của bệnh mà bác sĩ sẽ chỉ định cho người bệnh phương pháp điều trị phù hợp. Theo giảng viên Nguyễn Thùy Linh đang trực tiếp giảng dạy tại Khoa Dược của Trường Cao đẳng Y Dược Sài Gòn chia sẻ hiện nay phổ biến một số phổ biến một số phương pháp điều trị viêm nang lông như:
Sử dụng thuốc
Dùng thuốc dạng kem bôi, dầu gội đầu, thuốc uống để nhằm kiểm soát nhanh chóng các triệu chứng khó chịu do bệnh gây ra:
Trong trường hợp cần kiểm soát nhiễm trùng thì nên sử dụng thuốc kháng sinh dạng kem bôi hoặc gel nếu mức độ mắc bệnh nhẹ. Đối với trường hợp mắc bệnh nặng hoặc tái phát nhiều lần thì bác sĩ sẽ trực tiếp kê đơn để người bệnh sử dụng.
Trường hợp nhiễm nấm thì cần sử dụng kem, dầu gội đầu hoặc thuốc để chống nhiễm nấm. Người bệnh cần biết thuốc chống nấm sẽ dành cho nhiễm trùng do nấm men chứ không dành để chống vi khuẩn. Còn việc sử dụng thuốc kháng sinh sẽ không đạt hiệu quả điều trị tốt với trường hợp này.
Cần giảm viêm thì bác sĩ hướng dẫn người bệnh dùng thuốc hoặc kem để giảm viêm. Kê thêm kem steroid để giảm ngứa nếu bạn mắc viêm nang lông tăng bạch cầu ái toan nhẹ. Còn nếu người bệnh có hệ miễn dịch kém và nhiễm HIV/AIDS thì cần điều trị thêm bằng thuốc kháng virus.
Các biện pháp can thiệp
Phương pháp tiểu phẫu: người bệnh có xuất hiện nhọt to hoặc nhọt độc thì sẽ cần tiến hành rạch một đường nhỏ để dẫn lưu mủ ra ngoài. Điều này sẽ rút ngắn thời gian phục hồi, hạn chế mắc sẹo và giảm đau. Khi rạch xong có thể tiến hành che phủ bằng gạc vô trùng nếu nhận thấy mủ vẫn tiếp tục chảy ra.
Triệt lông bằng laser: phương pháp này có thể làm sạch nhiễm trùng. Tuy nhiên chi phí cao và cần phải điều trị vài lần. Khi các viêm nang lông được loại bỏ vĩnh viễn sẽ làm giảm mật độ của tóc trong khu vực được điều trị. Tuy nhiên người bệnh có thể gặp phải một số tác dụng phụ như da bị đổi màu, có sẹo và phồng rộp.

Cải thiện tại nhà từ những nguyên liệu tự nhiên
Mức độ mắc viêm nang lông nhẹ thì bạn có thể thực hiện một số biện pháp đơn giản tại nhà để giảm viêm ngứa, làn da nhanh chóng được phục hồi, đặc biệt ngăn ngừa những nhiễm trùng lây lan.
Một số cách sử dụng nguyên liệu tự nhiên để cải thiện tình trạng viêm nang lông như:
Dùng cám gạo và sữa tươi
Trong cám gạo có chứa nhiều Vitamin B, dưỡng chất này rất cần thiết với làn da khỏe mạnh. Việc sử dụng cám gạo sẽ bỏ đi lớp sừng dày nang lông, đặc biệt ở vùng chân nên sẽ giúp giảm viêm rất nhiều nếu dùng kết hợp với sữa tươi không đường.
Cách tiến hành
- Dùng trộn cám gạo cùng với sữa tươi không đường, khi thấy hỗn hợp sệt sệt là đạt.
- Làm sạch vùng da bị viêm nang lông sau đó thoa hỗ hợp lên.
- Lưu lại trên bề mặt da khoảng 20 – 30 phút và rửa lại bằng nước sạch.
- Duy trì thực hiện cách này 2 lần/ tuần trong nửa tháng liên tiếp để nhận thấy hiệu quả.
Lá trầu không
Trầu không là một loại lá được sử dụng phổ biến trong điều trị viêm nhiễm trên da. Nhờ vào đặc tính chứa nhiều tinh dầu và có tính kháng khuẩn cao nên sẽ ức chế và tiêu diệt được vi khuẩn nấm gây hại trên da. Ngoài ra trong lá trầu không có chứa nhiều hoạt chất chống oxy hóa nên sẽ giảm được sưng do viêm nang lông gây ra.
Cách tiến hành
- Dùng lá trầu không tươi rửa sạch và đem giã nát. Chú ý nên lựa chọn lá trầu không bánh tẻ, không nên dùng lá quá già hoặc lá quá non.
- Trong quá trình giã thêm vào đó một chút muối để sát khuẩn cho da và đồng thời tẩy tế bào chết.
- Dùng chà xát hỗn hợp trầu không đã giã nát trước đó lên vùng da cần điều trị.
- Lưu lại hỗn hợp trên da khoảng 20 phút và rửa lại bằng nước sạch.
Hy vọng bài viết trên đã giúp bạn đọc có thêm nhiều thông tin hữu ích về bệnh viêm nang lông, từ đó tìm hiểu thêm cách điều trị bệnh tại nhà với mức độ nhẹ. Bạn đọc hãy thường xuyên theo dõi các bài viết khác kiến thức y khoa khác cùng chuyên mục này.
096.152.9898 - 093.851.9898
Tìm hiểu vai trò của 10 loại acid amin thiết yếu đối với cơ thể
Các cách để kiểm soát tốt lượng đường trong máu
Uống nước đậu đen rang có tác dụng gì? Cách làm nước đậu đen rang
Bệnh tiểu đường có chữa được không?
Dấu hiệu cảnh báo sớm tình trạng viêm họng hạt ở lưỡi
Nhận biết bệnh nhiễm trùng đường tiêu hóa như thế nào?
Trường Cao đẳng Y Dược Sài Gòn trao tặng bằng khen cho các tập thể, cá nhân có thành tích xuất sắc trong công tác phòng, chống dịch Covid – 19



– Cơ sở 1:
Email:
Điện thoại: 0287.1060.222 – 096.152.9898 – 093.851.9898




