Bệnh thiểu sản men răng là gì? Nguyên nhân nào gây ra bệnh? Dấu hiệu nào nhận biết bệnh? Phương pháp điều trị như thế nào?… Bài viết dưới đây sẽ chia sẻ đầy đủ thông tin về bệnh thiểu sản men răng. Bạn đọc hãy cùng theo dõi nhé.
Các nguyên nhân gây ra thiếu sản men răng
Thiếu sản men răng là sự hình thành không hoàn toàn hoặc cấu trúc men răng bị lỗi trong giai đoạn hình thành men răng, dẫn đến thiếu hụt số lượng men răng.
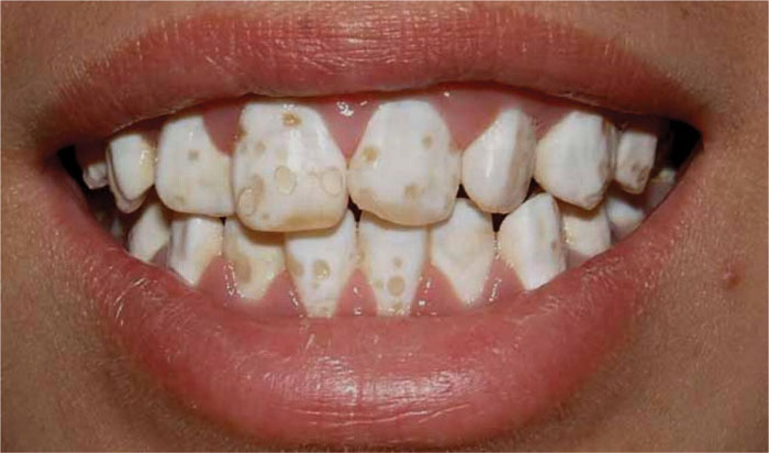
Phụ thuộc vào mức độ nghiêm trọng mà bệnh thiếu sản men răng sẽ giống như một vết lõm nhỏ ở một răng hoặc trên nhiều răng trong miệng. Gây ra sự đổi màu ở một vùng răng hoặc toàn bộ răng sẽ chuyển sang màu nâu sẫm.
Bệnh có thể xảy ra ở cả răng sữa và răng trưởng thành hoặc có thể phát triển trước ba tuổi do răng sữa đang mọc, men răng còn mềm và yếu tạo cơ hội cho việc tổn thương sớm.
Có rất nhiều nguyên nhân gây ra bệnh thiểu sản men răng, cụ thể như:
Thiếu sản men do di truyền
Các nguyên nhân này là do gen di truyền trong gia đình sẽ ảnh hưởng rất nhiều đến trẻ nhỏ khi cha mẹ hoặc người trong gia đình mắc thiểu sản men răng.
Thiếu sản men răng do môi trường
Trong thời gian mang thai mẹ bầu bổ sung không đầy đủ những canxi và flour khi thai nhi còn nhỏ, hoặc bé chế độ dinh dưỡng của bé không đủ dinh dưỡng trong chế độ ăn uống ở những bé có men răng mỏng, răng sữa bị thiếu sản.
- Có thể đang thiếu hụt các chất dinh dưỡng như Vitamin A, Vitamin C, Vitamin D.
- Trường hợp đang mắc các bệnh giang mai, hạ canxi máu, tinh hồng nhiệt, thủy đậu…
- Gặp phải các chấn thương hoặc bị nhiễm trùng trong quá trình trẻ hình thành răng.
- Trong nước uống và quá trình hình thành răng hấp thu quá nhiều flour.
- Nếu đánh răng sai cách sẽ dẫn đến men răng bị mòn và thời gian sau đó không bổ sung dầy đủ lượng canxi, flour từ bên ngoài.
- Dùng quá nhiều các thực phẩm, đồ uống có chứa nhiều axit trong thời gian dài dẫn đến men răng bị bào mòn.
- Mẹ bầu trong suốt quá trình mang thai thường xuyên dùng thuốc lá, ma túy.
Bên cạnh đó nhóm đối tượng những người mắc thiểu sản men răng bao gồm:
- Trẻ nhỏ được sinh ra trong quá trình mang thai không có đủ dinh dưỡng.
- Người thường xuyên sống ở những vùng nước sinh hoạt có nồng độ flour cao.
- Người có chế độ dinh dưỡng kém và thiếu chất.
- Sử dụng quá nhiều thức ăn, đồ uống có tính acid, kiềm, quá nóng hoặc lạnh.
Ngoài ra sẽ còn có nhiều nguyên nhân và yếu tố khác làm gia tăng nguy cơ mắc bệnh thiểu sản men răng mà chưa được liệt kê ở trên. Nếu người bệnh có thắc mắc gì thì hãy liên hệ với bác sĩ chuyên khoa để được giải đáp chi tiết.
Các triệu chứng nhận biết bệnh thiểu sản men răng
Có rất nhiều các triệu chứng để nhận biết sớm tình trạng thiểu sản men răng như:
- Ở trẻ nhỏ khi mắc thiểu sản men răng thì sẽ nhận thấy răng bị mủn, cụt răng dần, dễ bị gãy răng.
- Nhận thấy màu của bề mặt răng bị thay đổi xuất hiện đốm màu đen hoặc đốm màu vàng đến nâu nằm rải rác. Theo độ tuổi mà tình trạng này sẽ tăng cao hơn.
- Khi nguyên nhân bị thiểu sản men răng do giang mai thì sẽ thấy 2 răng cửa trên lệch hướng, bề mặt bị lõm và có hình bán nguyệt.
- Trường hợp nguyên nhân gây ra bệnh là do nhiễm trùng, chấn thương thì răng sẽ bị đổi sang màu nâu nhẹ, đồng thời xuất hiện vệt lõm trên thân răng.
- Khi ăn nóng hoặc lạnh bị tê buốt và đau nhức. Lâu dần tình trạng tê buốt sẽ tăng lên dần theo mức độ mắc thiểu sản men răng. Ban đầu khi mới mắc bệnh thì chỉ bị tê nhẹ, lâu dần cơn tê buốt kéo dài.
- Phần chân răng bị mòn tới nướu lâu dần có thể dẫn đến sâu răng phát triển.
Nếu khi xuất hiện các triệu chứng thiểu sản men răng mà không được phát hiện sớm và điều trị kịp thời thì có thể dẫn đến những biến chứng nguy hiểm như:
- Làm gia tăng nguy cơ sâu răng.
- Răng dễ bị mòn vỡ vụn.
- Ê buốt.
- Màu răng bị thay đổi.
- Nhổ răng.
- Có thể gây mất thẩm mỹ.
Để hạn chế các biến chứng nguy hiểm về bệnh có thể xảy ra thì người bệnh cần chú ý sức khỏe của cơ thể, ngay khi có những triệu chứng bất thường thì nên đến ngay cơ sở y tế chuyên khoa để được thăm khám và điều trị cụ thể.
Phương pháp điều trị thiểu sản men răng
Muốn cải thiện tình trạng thiểu sản men răng thì có thể áp dụng nhiều biện pháp khác nhau để điều trị như bổ sung thêm chất flour từ các sản phẩm kem đánh răng, nước súc miệng hoặc dùng những kỹ thuật nha khoa…. hạn chế tới mức tối đa những yếu tố tác động từ môi trường bên ngoài đến men răng. Cụ thể các phương pháp khắc phục thiểu sản men răng như:
Phương pháp bổ sung Flour: Tùy thuộc vào tình trạng thiểu sản men răng ở mức độ nhẹ. Thức ăn, nước uống, thuốc cũng có thể trở thành cách để bổ sung Flour. Tuy nhiên nên sử dụng thuốc trong thời gian ngắn hoặc thoa trực tiếp kem đánh răng lên bề mặt răng, súc miệng nước chuyên dụng theo đúng chỉ định của bác sĩ chuyên khoa.
Trám răng: Trường hợp bị mắc thiểu sản men răng ở mức độ trung bình dùng cách này để bù đắp lại men răng và giúp cho bề mặt răng phẳng hơn và tạo tính thẩm mỹ tốt hơn.
Bọc răng sứ: Phương pháp này được rất nhiều người lựa chọn hiện nay vì sẽ tạo ra giải pháp khắc phục toàn diện và bóng, đều đẹp hơn. Các trường hợp mắc thiểu sản men răng mức độ nặng sẽ được chỉ định dùng phương pháp này.
Phương pháp phòng ngừa thiểu sản men răng
Theo những chuyên gia về nha khoa nếu người bệnh không có nguyên nhân xuất phát từ yếu tố di truyền thì hoàn toàn có thể phòng ngừa bằng các phương pháp như:
Tăng cường bổ sung những chất dinh dưỡng như canxi, Vitamin A, D, C để giúp răng phát triển chắc khỏe.
Sử dụng bàn chải có lông mềm để đánh răng 2 lần/ ngày. Nên đánh răng theo đúng hướng dẫn của bác sĩ chuyên khoa và để làm sạch răng hơn. Tuy nhiên không đánh răng quá nhiều.
Hạn chế sử dụng những đồ uống, thức ăn quá chua, quá ngọt, axit quá cao hoặc đồ ăn quá nóng hoặc lạnh.
Trên đây là những thông tin chia sẻ về bệnh thiểu sản men răng. Nếu có thêm thắc mắc về bệnh lý này cũng như các vấn đề nha khoa hãy liên hệ trực tiếp với bác sĩ chuyên khoa, thông tin ở trên chỉ mang tính chất tham khảo thêm.
096.152.9898 - 093.851.9898
Tìm hiểu vai trò của 10 loại acid amin thiết yếu đối với cơ thể
Các cách để kiểm soát tốt lượng đường trong máu
Uống nước đậu đen rang có tác dụng gì? Cách làm nước đậu đen rang
Bệnh tiểu đường có chữa được không?
Dấu hiệu cảnh báo sớm tình trạng viêm họng hạt ở lưỡi
Nhận biết bệnh nhiễm trùng đường tiêu hóa như thế nào?
Trường Cao đẳng Y Dược Sài Gòn trao tặng bằng khen cho các tập thể, cá nhân có thành tích xuất sắc trong công tác phòng, chống dịch Covid – 19



– Cơ sở 1:
Email:
Điện thoại: 0287.1060.222 – 096.152.9898 – 093.851.9898




