Tràn dịch màng phổi là bệnh gì? Có nguy hiểm không? Bạn hãy cùng chúng tôi tìm hiểu trong bài viết này để biết rõ hơn nhé.
Tràn dịch màng phổi có nguy hiểm không?
Tràn dịch màng phổi là gì?
Tràn dịch màng phổi là một trong những tình trạng sức khỏe phổ biến trong đời sống con người. Hiện tượng này xảy ra do sự tích tụ quá nhiều chất lỏng trong phổi, giữ phổi hoặc lồng ngực. Theo các bác sĩ và các nguyên gia Y tế, trong phổi chúng ta bình thường có một lượng nhỏ chất lỏng để bôi trơn màng phổi. Nó giúp cho phổi di động dễ dàng hơn trong khoang phổi.
Trường hợp phổi tích tụ quá nhiều chất lỏng có thể gây áp lực lên phổi làm cho người bệnh cảm thấy khá khó khăn trong việc thở. Trong đời sống có rất nhiều nguy cơ, nhân tố dẫn đến bệnh tràn dịch màng phổi. Bệnh có thể ảnh hưởng đến mọi lứa tuổi, trong đó, phụ nữ sẽ bị ảnh hưởng nhiều hơn so với nam giới. Nếu bạn muốn hạn chế bệnh, hãy thực hiện giảm các nguy cơ gây bệnh trước.
Nguyên nhân tràn dịch màng phổi
Bạn có thể bị mắc bệnh tràn dịch màng phổi do biến chứng của nhiều loại bệnh khác nhau như:
- Nhiễm trùng ở phổi với các bệnh như: áp-xe phổi vỡ, viêm phế nang, bụi phổi, khí phế thũng, bệnh phổi tắc nghẽn mạn tính…
- Bệnh tràn dịch màng phổi có thể bị mắc do những cơn hen suyễn nặng hoặc chấn thương lồng ngực xuyên thủng phổi.
- Những tổn thương phổi do gãy xương sườn, áp xe cơ hoành hoặc một số cơ quan khác vỡ tràn vào màng phổi.
- Bệnh lao phổi là một trong những nguyên nhân hàng đầu dẫn đến bệnh tràn dịch màng phổi chiếm tới 40%.
- Bệnh cũng có thể là hậu quả do một số thủ thuật như nội soi phế quản, dẫn lưu màng phổi, chọc dò.
- Một trong những loại ung thư có thể dẫn đến bệnh tràn dịch màng phổi là ung thư bạch huyết bắt đầu trong hệ thống miễn dịch, Ung thư biểu mô là một loại ung thư liên quan đến chất amiang được hình thành trên các mô mỏng có tác dụng trong việc bảo vệ, bao phủ phổi và vùng bụng.
- Những người có nồng độ protein trong máu thấp ở khi bị xơ gan cũng có thể làm tràn dịch màng phổi ở giai đoạn cuối.
- Ngoài ra, bạn còn có thể gặp một số trường hợp bệnh khác dẫn đến tràn dịch màng phổi như: tắc mạch phổi, lupus và các bệnh tự miễn khác, phương pháp điều trị như hóa trị và xạ trị, suy tim sung huyết…
Những yếu tố làm tăng nguy cơ mắc tràn dịch màng phổi
Những yếu tố làm tăng nguy cơ tràn dịch màng phổi bao gồm: các tình trạng bệnh lý nêu như ở trên, qua quá trình điều trị ung thư hoặc uống thuốc đều có thể ảnh hưởng đến cách cơ thể lưu giữ dịch.
Các triệu chứng của tràn dịch màng phổi

Tràn dịch màng phổi khiến người bệnh cảm thấy rất khó chịu
Khi bị tràn dịch màng phổi bạn có thể cảm thấy một số dấu hiệu như sau, hãy chú ý để có phương án điều trị kịp thời:
- Đau ngực là một trong những triệu chứng đầu tiên của chứng tràn dịch màng phổi, Lúc đầu người bệnh có thể cảm thấy đau âm ỉ ở phía bên tràn dịch và nếu người bệnh nằm nghiêng phía bên đối diện thì cơn đau có thể sẽ tăng lên nhiều hơn.
- Tiếp theo, người bệnh có thể cảm thấy khó thở, tức ngực. Mức độ nặng nhẹ của bệnh phụ thuộc vào số lượng hoặc tốc độ tiết dịch.
- Những người già có tuổi có thể sốt khi bị bị nhiễm trùng và những người mắc bệnh hiểm nghèo thì có thể sẽ không có triệu chứng này.
- Bên cạnh đó, người bệnh còn hay gặp biểu hiện ho khan. Mức độ ho sẽ phụ thuộc vào nguyên nhân gây bệnh.
Phương án chẩn đoán và điều trị
Những kỹ thuật y tế dùng để chẩn đoán tràn dịch màng phổi
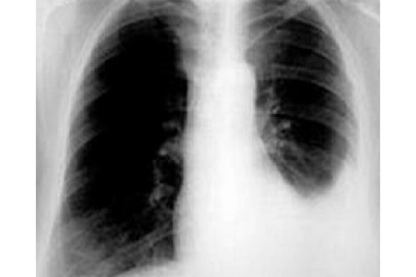
- Khi đến trung tâm y tế, bệnh viện thăm khám bạn có thể được các bác sĩ chẩn đoán với phương pháp khám lâm sàng: nghe phổi bằng ống nghe, gõ ngực, hoặc làm một số xét nghiệm hình ảnh có thể cho biết mức độ chất lỏng được tích tụ trong phổi là bao nhiêu.
- Sau đó bạn có thể được các bác sĩ yêu cầu chụp X-quang hoặc chụp CT để chẩn đoán bệnh chính xác hơn nếu nghi ngờ có dấu hiệu tràn dịch màng phổi.
- Ngoài ra, bạn sẽ còn có thể được xét nghiệm phân tích dịch màng phổi, chọc dò dịch màng phổi bằng cách sử dụng một cây kim nhỏ đưa qua màng phổi và rút một mẫu nhỏ chất lỏng. Xét nghiệm này sẽ cho biết chất lỏng tích tụ là do nhiễm trùng hay do tình trạng nào khác. Bên cạnh đó, các mẫu này cũng có thể được dùng để tìm các tế bào ung thư hoặc đo nồng độ protein.
Những phương pháp dùng để điều trị tràn dịch màng phổi
- Các bác sĩ sẽ điều trị tràn dịch màng phổi cho bệnh nhân bắt đầu với việc giảm thiểu các triệu chứng khó chịu tùy thuộc vào tình trạng tích tụ chất lỏng có thể sẽ có những cách điều trị khác nhau.
- Trong trường hợp người bệnh có nguyên nhân nhiễm trùng có thể sử dụng thuốc kháng sinh và trong trường hợp muốn làm giảm dần lượng dịch ứ đọng trong màng phổi bạn có thể sử dụng thuốc lợi tiểu furosemide (Lasix).
- Các chất lỏng có thể tự biết mất nếu các nguyên nhân gây bệnh được xử lý. Nếu bạn cảm thấy khó chịu, bạn có thể yêu cầu bác sĩ rút chất lỏng trong phổi ra bằng cách hút dịch hoặc dẫn lưu màng phổi.
Một số điều trị khác để làm giảm tích tụ là:
- Pleurodesis là một trong chất lỏng điều trị tràn dịch lặp đi lặp lại do ung thư. Thuốc được tiêm vào khu vực màng phổi giúp ngăn chặn việc chất lỏng có thể tái tích tụ gây hiện tượng tràn dịch màng phổi. Một số hóa chất gây xơ được các bác sĩ sử dụng trong quá trình điều trị: tetracycline, talc vô trùng và bleomycin.
- Người bị tràn dịch màng phổi cũng có thể được đặt ống dẫn lưu cố định tại chỗ giúp ngăn chặn chất lỏng không thể thoát ra ngoài thường xuyên.
- Người bệnh cũng có thể được yêu cầu sử dụng thủ thuật phẫu thuật ống shunt hay ống dẫn lưu nội bộ để chất lỏng thoát ra từ ngực đi vào khoang bụng.
- Phẫu thuật cắt bỏ màng phổi thỉnh thoảng được sử dụng cho những người bị mắc tràn dịch màng phổi do ung thư khi không thể thực hiện chữa trị bằng các loại phương pháp khác.
Chế độ sinh hoạt phù hợp
Để phòng ngừa, ngăn chặn bệnh tràn dịch màng phổi, bạn nên thực hiện lối sống như sau:
- Không nên sử dụng rượu, bia hoặc các chất ma túy, thuốc lá,…
- Bạn nên thực hiện việc kiểm tra sức khỏe thường xuyên, định kỳ để có thể phát hiện bệnh sớm.
- Nếu bạn mắc bệnh ung thư, bạn có thể thảo luận với bác sĩ cách phòng tránh không để dẫn đến hiện tượng tràn dịch màng phổi.
Tóm lại, bệnh tràn dịch màng phổi có thể gây ra nhiều khó chịu cho người bệnh vì vậy bạn cần phải ngăn chặn và phòng ngừa càng sớm càng tốt. Cao đẳng Y dược Sài Gòn khuyên bạn nên đến bệnh viện thăm khám ngay nếu có bất kỳ biểu hiện nào của bệnh.
096.152.9898 - 093.851.9898
Tìm hiểu vai trò của 10 loại acid amin thiết yếu đối với cơ thể
Các cách để kiểm soát tốt lượng đường trong máu
Uống nước đậu đen rang có tác dụng gì? Cách làm nước đậu đen rang
Bệnh tiểu đường có chữa được không?
Dấu hiệu cảnh báo sớm tình trạng viêm họng hạt ở lưỡi
Nhận biết bệnh nhiễm trùng đường tiêu hóa như thế nào?
Trường Cao đẳng Y Dược Sài Gòn trao tặng bằng khen cho các tập thể, cá nhân có thành tích xuất sắc trong công tác phòng, chống dịch Covid – 19



– Cơ sở 1:
Email:
Điện thoại: 0287.1060.222 – 096.152.9898 – 093.851.9898




